The Smile Studio - Best Dental Clinic in Birati
Dental and oral health is an essential part of
you overall health and well-being.
Expertise in Smile Restoration
Our doctors are highly qualified and experienced dentists, dedicated to providing you with the best possible dental care.
Cutting-Edge Technology
Birati's first modern dental clinic, offering precise, efficient, and comfortable care with advanced technology.
Comprehensive & Tailored Care
From routine check-ups to complex implant and prosthodontic procedures, we provide a complete spectrum of dental services.
Trusted Excellence & Comfort
We are committed to the highest standards of dental care, prioritizing patient comfort and fostering a trusting environment.
Welcome to The Smile Studio - Your Destination for Expert Prosthodontics and Dental Implants in Birati
Welcome to The Smile Studio, Birati’s first dental clinic to integrate cutting-edge modern technology, offering unparalleled expertise in dental restoration and tooth replacement. Owned and led by Dr. Hrishikesh Mahapatra, a leading best prosthodontist and best implantologist, we specialize in crafting beautiful, functional smiles through advanced prosthodontic solutions and state-of-the-art dental implant treatment. If you’re seeking the best dental clinic in Birati for comprehensive care, particularly in restoring missing teeth or enhancing your smile, you’ve come to the right place.
Our Mission
Aware people on oral health so as to help in early diagnosis and treatment of diseases at initial stages thus to limit the further complications.
Our Vision
Provide the highest quality dental care as an outstanding chain of clinics through exceptional services to our community people.
Visiting the Dentist regularly will keep a check
on your overall health.
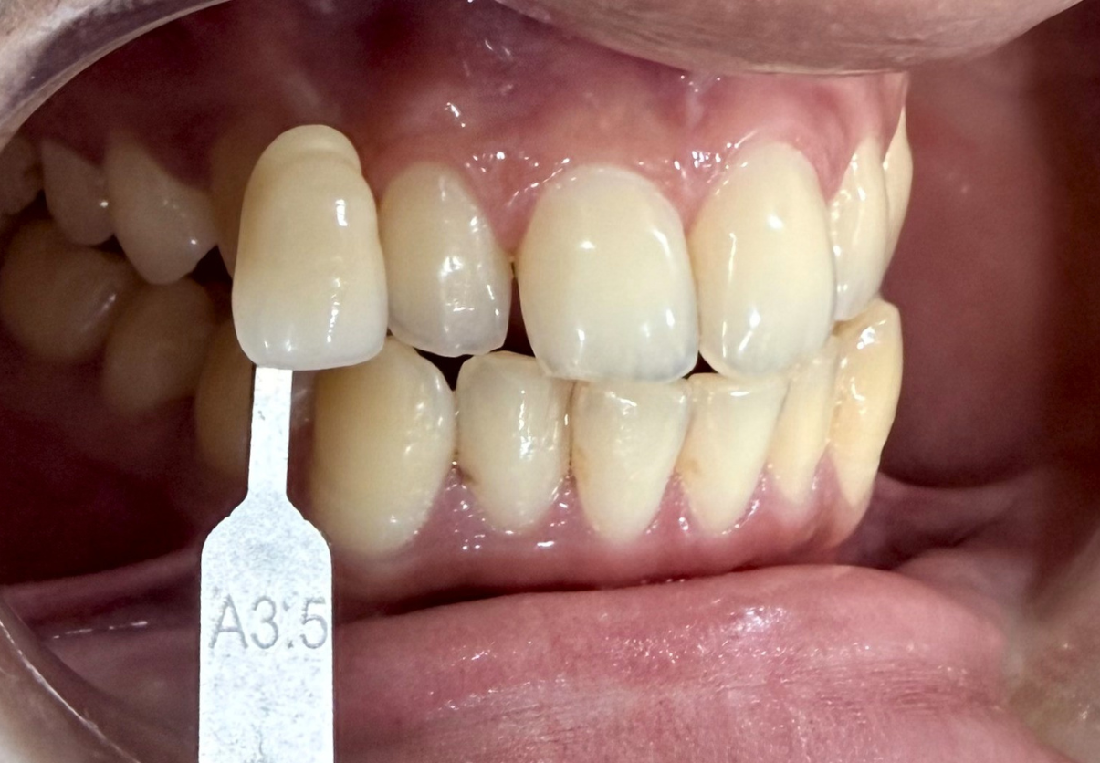
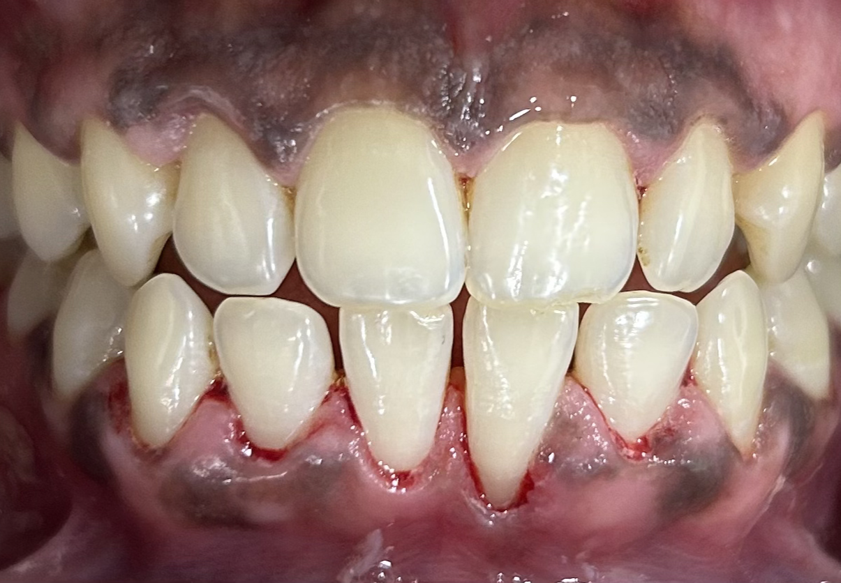
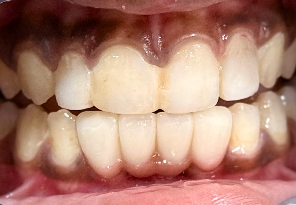
Dental Implants
Dental implants are artificial tooth roots surgically placed in the jaw to hold replacement teeth. They’re strong, stable, and look natural, offering a long-term fix for missing teeth.
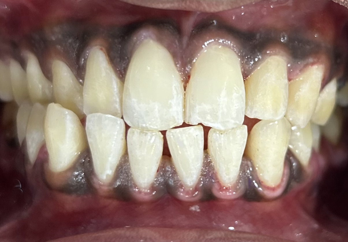
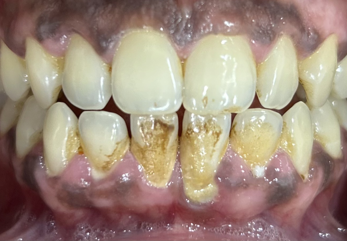
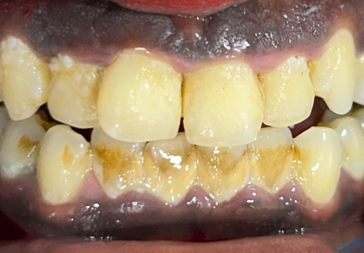
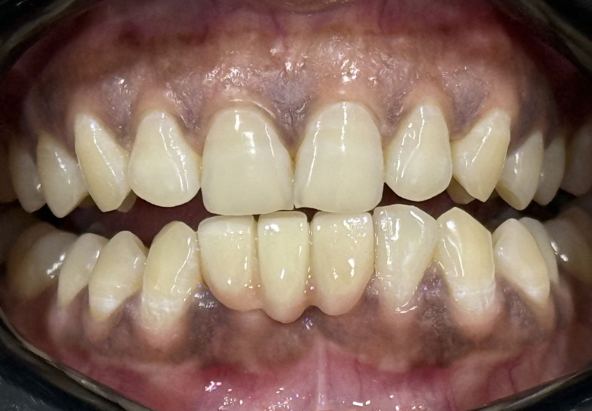
Full Mouth Rehabilitation
Full mouth rehabilitation, also known as full mouth reconstruction, is a dental treatment approach that aims to restore the functionality and aesthetics of patient’s teeth and gums.
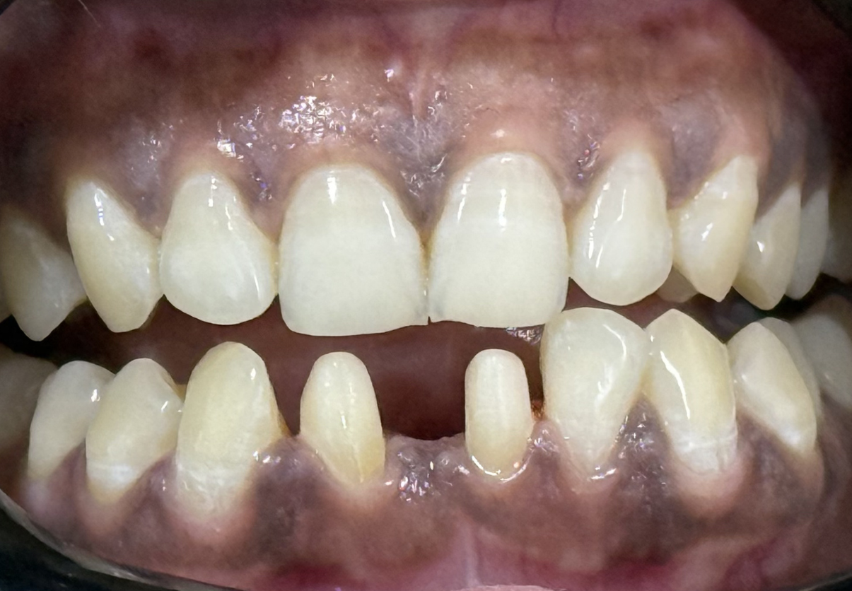
Smile Designing
Smile designing customizes your smile’s look, focusing on teeth and gums for a better, more attractive appearance.
Our Clinic has been loved by people. Read what they have to say.
EXCELLENT Based on 14 reviews Posted on Gayatri ZambreTrustindex verifies that the original source of the review is Google. Had the best experience at The Smile Studio dental clinic!! Usually I'm very anxious when it comes to dental treatment, but all my anxiety and doubts dissipated here. The clinic had a soothing vibe and a very helpful staff. Dr Hrishikesh is a hands-on clinician and is really patient when it came to my answering my endless doubts. He really cares for his patient's well being and comfort, and the Filling procedure that I required was carried out painlessly and literally in no time! Truly a wonderful experience!Posted on Mostak AhmedTrustindex verifies that the original source of the review is Google. Good environmentPosted on Rahul DeTrustindex verifies that the original source of the review is Google. I am beyond satisfied after being there. Can trust him blindly for all dental solutions.Posted on Gaurav BoseTrustindex verifies that the original source of the review is Google. The smile studio is equipped with very high end quality instruments. Staff’s behaviour is very polite and Dr Hrishikesh Mahapatra is extremely polite and his way of treatment is very commendable.Posted on Swapnil RoyTrustindex verifies that the original source of the review is Google. Very polite staff and doctor. Wonderful service.Posted on Madographer ProductionsTrustindex verifies that the original source of the review is Google. I think of the best Dental Clinic in the town, and you would find the doctor very helpful in every manner, surely would recommend people to visit this place.




























Your perfect SMILE is just a visit away
We take great satisfaction in helping you maintain optimal oral health utilizing the most advanced dental technologies
Schedule an Appointment
Fill the below form and schedule an appointment. Our team will connect. *Our clinic is closed on Sunday.
